Clinical Image
Atypical Presentation of Langerhans Cell Histiocytocis
Filipa Marujo1*, Marisa Inácio Oliveira1, Manuela Martins2 and Maria João Brito2
1Pediatrics Infectious Diseases Unit, Centro Hospitalar Universitário de Lisboa Central – EPE, Portugal
2Pathological Anatomy Unit, Centro Hospitalar Universitário de Lisboa Central – EPE, Portugal
*Corresponding author: Filipa Marujo, Pediatrics Infectious Diseases Unit,
Dona Estefânia Hospital, Centro Hospitalar Universitário de Lisboa Central
– EPE, Rua Jacinta Marto 1169-045 Lisboa, Portugal; Tel: 351213 126 623; Email:
filipa.marujo10@gmail.com;
filipa.marujo@chlc.min-saude.pt
Submitted: 21 December 2018; Accepted: 29 May 2019; Published: 03 June 2019
Cite this article: Marujo F, Oliveira MI, Martins M, Brito MJ (2019) Atypical
Presentation of Langerhans Cell Histiocytocis. JSM Pediat Child Health 4: 2.
EBV: Epstein-Barr virus; CT: Computed Tomography; IGRA:
Interferon-Gamma Release Assay; HIV: Human Immunodeficiency
Virus; PPD: Purified Protein Derivative; VCA: Viral Capsid Antigen
A 4-year-old male from Guinea-Bissau presented with a
3-year history of a painless, progressively enlarging bilateral
cervical mass (Figure 1). There was no failure to thrive, fever or
any constitutional symptom. Dyspnea, dysphonia, sialorrhea and
dysphagia were absent. Besides a bulky, tender bilateral cervical
mass, physical exam was otherwise normal. There were no skin
lesions, palpable lymphadenopathies or hepatosplenomegaly.
Cervical ultrasonography showed an extensive, lobulated, solid,
heterogeneous cervical mass involving cervical structures but
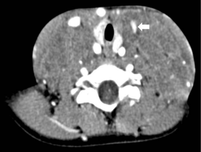
not invading them. Contrast-enhanced cervical CT scan revealed
a multicompartmental captive lesion involving the neck, with
extension to the upper and anterior mediastinum (Figure 2).
Skeletal survey, chest X-ray and abdominal ultrasound were
normal. Complete blood count, erythrocyte sedimentation rate,
C-reactive protein, liver and kidney function and urinalysis were
normal. HIV, cytomegalovirus, bartonellosis were excluded.
The PPD test had no induration and IGRA-QuantiFERON® was
negative. VCA-IgG and EBNA antibodies for Epstein-Barr virus
were positive and VCA-IgM was negative.
-
Figure 2:Axial image from a contrast-enhanced cervical CT scan
showing a multicompartmental, solid and captive lesion involving the
neck, with extension to the upper and anterior mediastinum and left
jugular vein compression. No evidence of calcification or compression
of the airway. There were no other cervical or mediastinal
adenopathies. View Figure
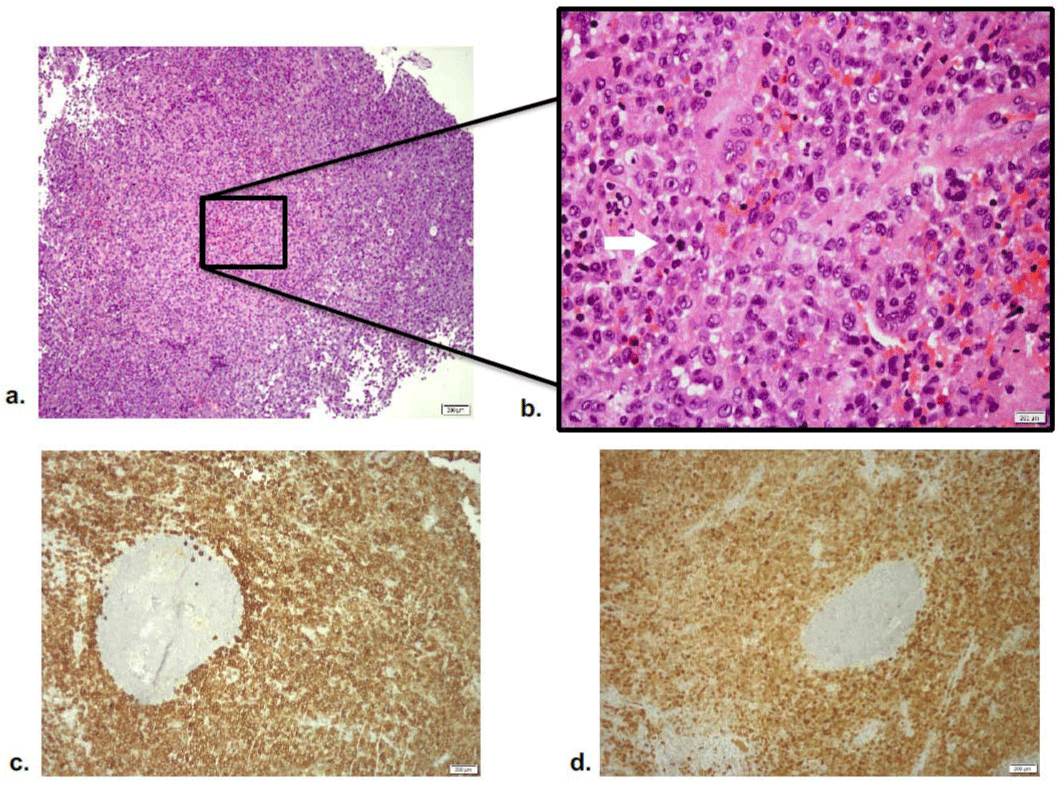
Excisional biopsy of the mass was performed and
anatomopathological examination demonstrated partial
effacement of lymph node with preservation of some follicular
centers and an extensive infiltrate composed of sheets of
histiocytes, with morphology of Langerhans cells (Figure 3).
Immunohistochemical staining showed positivity for S100
protein, CD68 and CD1a, confirming the diagnosis of Langerhans
cell histiocytosis (LCH).
-
Figure 3:(A) – [HE 100x - Distension of nodal sinuses by Langerhans cells, which are large cells with abundant, pale eosinophilic cytoplasm, irregular
and elongated nuclei with prominent nuclear grooves and folds, fine chromatin and indistinct nucleoli. Focal necrosis and some eosinophils are
observed.] (B) - [HE 400x - Langerhans cells have irregular and elongated nuclei with prominent nuclear grooves and folds, fine chromatin and
indistinct nucleoli. Some are multinucleated. There are occasional mitotic figures.] (C) - [Langerhans cells are immunoreactive with CD1a.] (D) -
[Langerhans cells are immunoreactive with S100]. View Figure
Also, EBV virus DNA was detected in biopsy by polymerase
chain reaction. Etiology of neck masses in children typically
fall into one of three categories: developmental, inflammatory/
reactive or neoplastic. Most cervical masses are infectious or
reactive in origin. Enlarged lymph nodes that are firm and
immobile, persist longer than six weeks or enlarge during a course
of antibiotics should be evaluated and a biopsy is recommended [1].
LCH is a rare disease with unknown etiology characterized by
abnormal proliferation of Langerhans cells [2]. Lymphadenopathy
is seen in approximately 20% and in pediatric patients, cervical
lymph nodes are the most frequently involved with known
multisystemic disease [3]. Presentation of LCH as a cervical mass with lymph node involvement in a primary isolated form,
without cutaneous or bone involvement, as the case we present,
is extremely rare [3]. The diagnosis is based on histopathological
examination [4,5].
Some reports indicate a higher detection of EBV in lymph
nodes of patients with LCH [6,7]. It is tempting to establish a
causal association between EBV and the pathogenesis of LCH.
But recent publications indicate that this higher frequency is
accounted for by the infection of by stander B lymphocytes and
macrophages in LCH granuloma. This fact could be attributed to
the immunossupressive micro environment found in the LCH
granuloma [8,9].